View Ulna Bone Fracture In Child UK

View Ulna Bone Fracture In Child UK. In rockwood and wilkins' fractures in children, 7th ed. Caring for your child in an arm cast.

Pediatric Radius And Ulna Fractures 2 Youtube
Pediatric Radius And Ulna Fractures 2 Youtube from i.ytimg.com
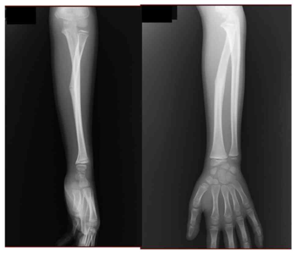
It is rare to find a fracture not uniting in case of fractures in children and whenever it occurs, there would be a strong reason for it like infection or some other pathology. Broken bones or fractures are common in childhood, with up to 40 percent of girls and as many as 50 percent of boys experiencing a fracture. This occurs when the ulna has a fracture and the radial head (the part of the radius near the elbow) has dislocated from the elbow joint.

In rockwood and wilkins' fractures in children, 7th ed.

Your child's treatment plan is determined by the type, location, and severity of the fracture. Fracture of a single bone with plastic deformation of the other bone. Some likely fractures your child may get include in sixty per cent of the cases, only the ulna bone is affected. The radial head is dislocated anteriorly and the ulna has a short oblique or greenstick fracture in the diaphyseal or proximal metaphyseal area.

Komentar

Postingan Populer